On vient de me diagnostiquer un Craniopharyngiome, qui consulter Marseille

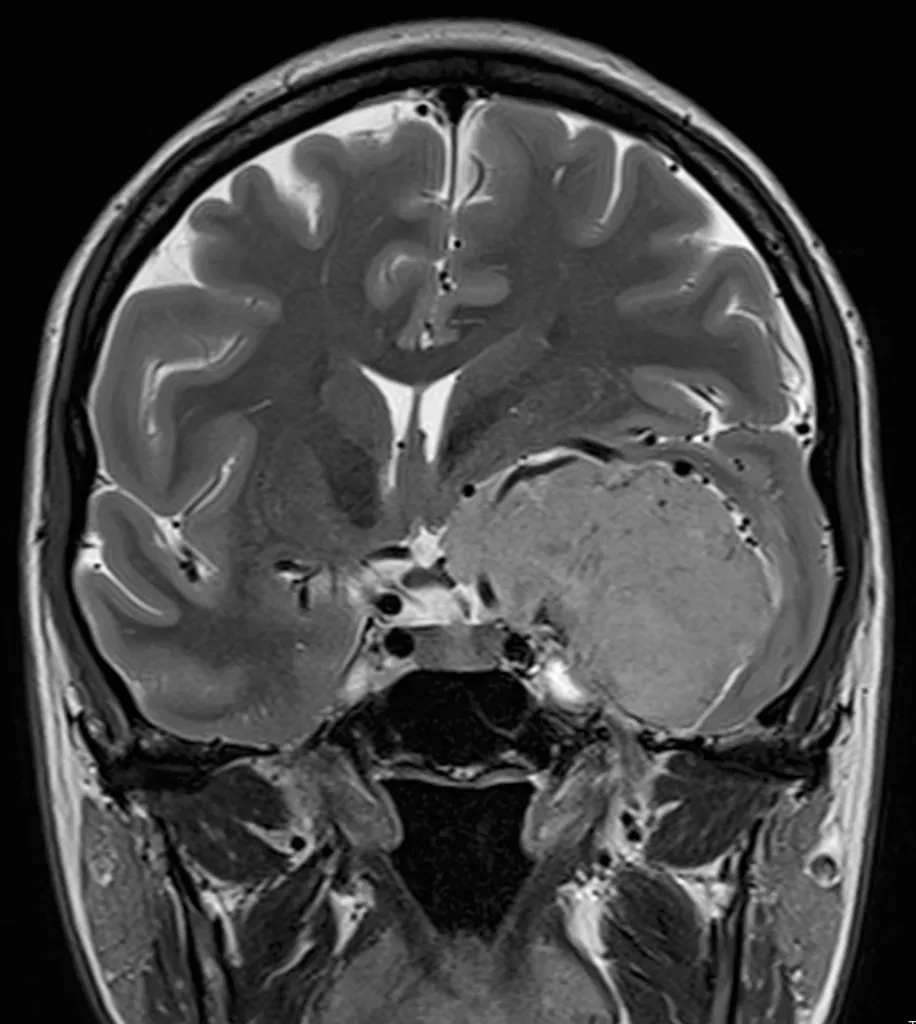
IRM T2 d'un Craniopharyngiome

Craniopharyngiome de l'adulte

Le craniopharyngiome est une tumeur intracrânienne rare et bénigne qui se développe sous le cerveau et peu concerner, à des degrés divers, l'hypophyse, la tige hypophysaire et l'hypothalamus. Par sa localisation et par sa taille, lors de son développement, le craniopharyngiome peut comprimer et perturber le fonctionnement de ces structures et des structures voisines et ainsi provoquer des troubles visuels, des troubles hormonaux, voir des troubles du comportement ou de la mémoire, ou encore des signes d'hypertension intracrânienne Bien que bénins, les craniopharyngiomes peuvent adopter un comportement localement agressif et récidivant, d’où la nécessité d’une prise en charge spécialisée et multidisciplinaires faisant appel aux neurochirurgiens, aux neuroradiologues, aux endocrinologues, aux radiothérapeutes, neuropsychologues et diététiciens. Notre équipe à Marseille est un centre de référence dans la pris en charge des craniopharyngiomes.
En savoir plus
IRM T2 d'un Craniopharyngiome
Craniopharyngiome de l'adulte
Le craniopharyngiome est une tumeur intracrânienne rare et bénigne qui se développe sous le cerveau et peu concerner, à des degrés divers, l'hypophyse, la tige hypophysaire et l'hypothalamus. Par sa localisation et par sa taille, lors de son développement, le craniopharyngiome peut comprimer et perturber le fonctionnement de ces structures et des structures voisines et ainsi provoquer des troubles visuels, des troubles hormonaux, voir des troubles du comportement ou de la mémoire, ou encore des signes d'hypertension intracrânienne Bien que bénins, les craniopharyngiomes peuvent adopter un comportement localement agressif et récidivant, d’où la nécessité d’une prise en charge spécialisée et multidisciplinaires faisant appel aux neurochirurgiens, aux neuroradiologues, aux endocrinologues, aux radiothérapeutes, neuropsychologues et diététiciens. Notre équipe à Marseille est un centre de référence dans la pris en charge des craniopharyngiomes.
En savoir plus
Méningiome de la base du crâne inséré sur l'apophyse clinoïde antérieure
Méningiome
Le méningiome est une tumeur intracrânienne le plus souvent bénigne qui se développe à partir des méninges entourant et protégeant le cerveau et la moelle épinière. Leur croissance est la plupart du temps lente sur plusieurs années. La découverte fortuite lors d’un examen d’imagerie est fréquente. Les méningiomes peuvent provoquer des troubles neurologiques divers. Le traitement des méningiomes symptomatiques fait le plus souvent appel à la chirurgie.
En savoir plus
Adénome hypophysaire
Adénome hypophysaire
Les adénomes hypophysaires sont des tumeurs bénignes se développant à partir de l’hypophyse, une petite glande située à la base du cerveau, dans la région sellaire. Véritable centre de régulation hormonale, elle contrôle de nombreuses fonctions du corps. Ces tumeurs peuvent perturber la production d’hormones ou exercer une pression sur les structures voisines, notamment les nerfs optiques, engendrant des symptômes visuels tels qu’une baisse de la vision ou un rétrécissement du champ visuel. Leur prise en charge nécessite une expertise neurochirurgicale et endocrinologique étroite, assurée au CHU de la Timone, en collaboration avec le centre expert du service d’endocrinologie du CHU de la Conception ou d’autres équipes endocriniennes de la région, selon les besoins du patient.
En savoir plus
Gliome de Haut Grade
Gliome de Haut Grade
Les gliomes de haut grade, dont le glioblastome, sont des tumeurs cérébrales malignes à croissance rapide, issues des cellules gliales. Ils se manifestent le plus souvent par des maux de tête persistants, des troubles neurologiques (faiblesse, troubles du langage, crises d’épilepsie) ou des signes d’hypertension intracrânienne (céphalées, vomissements, vision trouble). Le diagnostic repose sur l’IRM cérébrale et la confirmation histologique après chirurgie. Au CHU de la Timone à Marseille, la prise en charge est assurée par une équipe multidisciplinaire réunissant neurochirurgiens, oncologues, radiothérapeutes, neuropsychologues et personnels de rééducation. L’objectif du traitement est de retirer la tumeur le plus largement possible, puis d’associer une radiothérapie et une chimiothérapie adaptées au profil moléculaire de la tumeur. Cette approche intégrée et personnalisée vise à optimiser la survie tout en préservant la qualité de vie du patient.
En savoir plus
Anévrysme de l'artère communicante antérieure
Anévrismes intracrâniens
L’anévrisme intracrânien correspond à une dilatation localisée de la paroi d’une artère cérébrale, le plus souvent liée à une fragilisation progressive du vaisseau. Il peut rester asymptomatique ou provoquer des maux de tête, des troubles visuels, voire des signes neurologiques selon sa taille et sa localisation. Le risque principal est la rupture, entraînant une hémorragie méningée, urgence neurochirurgicale grave nécessitant une prise en charge immédiate. La détection d’un anévrisme repose sur l’imagerie cérébrale, en particulier l’angio-IRM, l’angioscanner et l'artériographie cérébrale. Le CHU de la Timone à Marseille assure une prise en charge complète et multidisciplinaire des anévrismes intracrâniens, réunissant neurochirurgiens, neuroradiologues interventionnels, réanimateurs et anesthésistes au sein d’un centre de référence expert dans le traitement de ces pathologies vasculaires cérébrales.
En savoir plus
Gliome de bas grade parietal droit
Gliome de Bas Grade
Le gliome de grade II est une tumeur cérébrale d’évolution lente, touchant le plus souvent l’adulte jeune. Bien que considérée comme de bas grade, elle peut progressivement se transformer en une forme plus agressive, ce qui justifie une prise en charge précoce et spécialisée. Les symptômes varient selon la localisation : crises d’épilepsie, troubles du langage, de la motricité ou de la concentration. Le diagnostic repose sur l’IRM cérébrale et l’analyse histologique après chirurgie. Au CHU de la Timone à Marseille, la prise en charge repose sur une approche multidisciplinaire associant neurochirurgiens, neuroradiologues, oncologues et neuropsychologues. Dans les cas où la tumeur siège à proximité de zones fonctionnelles du cerveau, la chirurgie peut être réalisée sous éveil du patient, permettant de cartographier les fonctions du langage et du mouvement afin d’optimiser la résection tout en préservant les capacités neurologiques essentielles.
En savoir plus
Nous écrire
Les champs indiqués par un astérisque (*) sont obligatoires
Pour la moindre question, n’hésitez pas à nous joindre par téléphone
Horaires d’ouverture du secrétariat du lundi au jeudi de 8h à 17h et le vendredi de 8h à 16h30