Gliome de Bas Grade

Gliome de grade II (ou tumeur gliale de bas grade)
Une tumeur cérébrale à croissance lente nécessitant une prise en charge experte et personnalisée

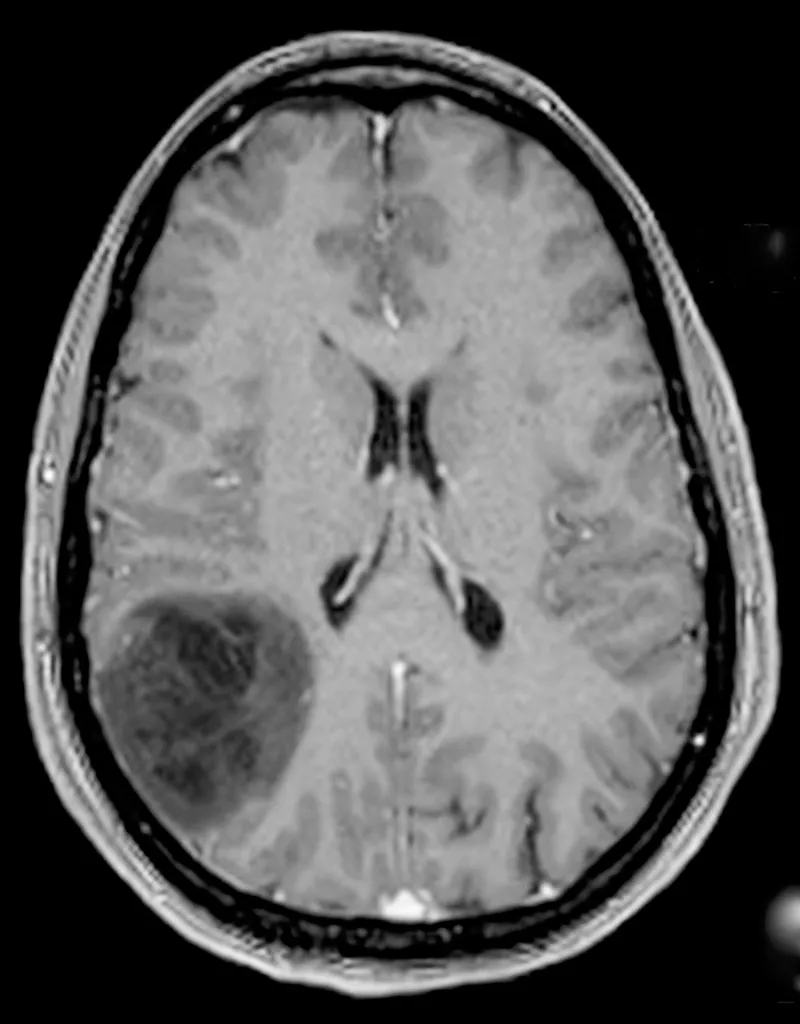
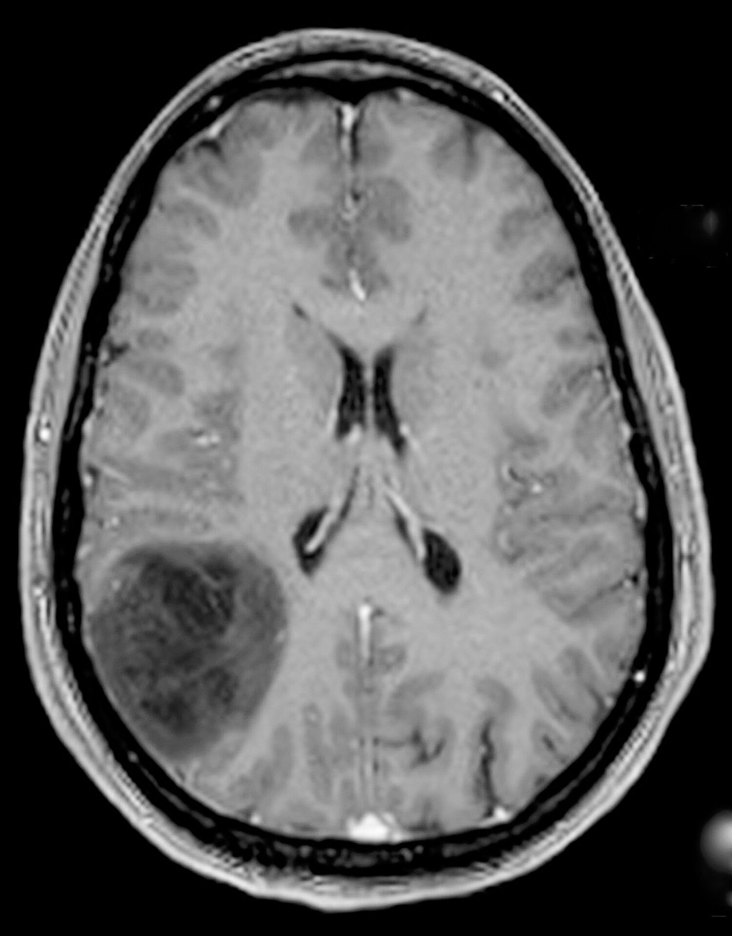
Le gliome de grade II est une tumeur cérébrale dite de bas grade, c’est-à-dire à croissance lente, se développant à partir des cellules gliales, qui soutiennent et protègent les neurones. Il touche principalement l’adulte jeune et représente une forme intermédiaire entre les lésions bénignes et les tumeurs plus agressives. Bien que son évolution soit souvent progressive, il peut, au fil du temps, se transformer en une forme de plus haut grade, ce qui justifie une surveillance et une prise en charge spécialisées.

Le service de neurochirurgie du Pr DUFOUR au CHU de la Timone à Marseille dispose d’une expertise reconnue dans la prise en charge de ces tumeurs, en collaboration étroite avec les équipes de neuroradiologie, d’oncologie, de neuropsychologie et d’anatomopathologie. Cette approche multidisciplinaire permet d’adapter le traitement à chaque patient, en intégrant les données cliniques, radiologiques et moléculaires.

Les symptômes possibles

Les gliomes de grade II se manifestent le plus souvent par des crises d’épilepsie inaugurales. Selon leur localisation, ils peuvent également entraîner des troubles du langage, de la motricité, de la vision, de la mémoire ou de la concentration. Dans certains cas, ils sont découverts fortuitement lors d’un examen d’imagerie réalisé pour une autre raison.

Le diagnostic

Le diagnostic repose sur l’IRM cérébrale, qui permet de visualiser la tumeur, d’évaluer son extension et ses rapports avec les structures cérébrales avoisinantes. Le diagnostic de certitude est établi par l’analyse histologique et moléculaire du tissu tumoral prélevé lors de la chirurgie. Ces informations précisent le sous-type de gliome et orientent la stratégie thérapeutique. Chaque dossier est discuté en réunion de concertation pluridisciplinaire regroupant neurochirurgiens, oncologues, radiothérapeutes et neuroradiologues.

La prise en charge à la Timone

La chirurgie constitue le traitement de première intention pour la majorité des gliomes de grade II. L’objectif est d’obtenir la résection la plus complète possible tout en préservant les fonctions cérébrales essentielles. Lorsque la tumeur est localisée à proximité des zones du langage, de la motricité ou d’autres fonctions cognitives, l’intervention peut être réalisée sous éveil du patient.

Cette technique, appelée chirurgie éveillée du cerveau, permet de cartographier en temps réel les aires fonctionnelles grâce à une stimulation corticale, tout en échangeant avec le patient pendant l’intervention. Elle offre un équilibre optimal entre efficacité oncologique et préservation des fonctions neurologiques. Cette approche de haute précision est une des spécialités du CHU de la Timone, où elle est réalisée par une équipe expérimentée associant neurochirurgiens, anesthésistes, neuropsychologues et personnels de bloc opératoire formés à cette technique.

En complément de la chirurgie, une surveillance par IRM régulière est mise en place. Selon les caractéristiques moléculaires et l’évolution de la tumeur, un traitement adjuvant par radiothérapie ou chimiothérapie peut être proposé.

Le suivi et la réhabilitation

Après la chirurgie, un suivi neurologique et neuropsychologique est assuré pour évaluer la récupération et accompagner la reprise des activités quotidiennes. En cas de séquelles motrices ou cognitives, un programme de rééducation personnalisé est mis en œuvre. L’équipe reste en lien étroit avec le patient sur le long terme afin d’adapter la prise en charge en cas d’évolution.

Pourquoi consulter à la Timone ?

Le CHU de la Timone est un centre de référence pour la prise en charge des tumeurs cérébrales, en particulier les gliomes de bas grade. L’équipe du Pr DUFOUR y combine expertise chirurgicale, innovation technologique et accompagnement humain.

Les patients bénéficient d’un parcours de soins complet, intégrant la chirurgie éveillée, la neuronavigation, l’IRM fonctionnelle et la collaboration multidisciplinaire, garantissant la meilleure balance entre efficacité du traitement et préservation de la qualité de vie.

Nous écrire
Les champs indiqués par un astérisque (*) sont obligatoires
Pour la moindre question, n’hésitez pas à nous joindre par téléphone
Horaires d’ouverture du secrétariat du lundi au jeudi de 8h à 17h et le vendredi de 8h à 16h30