1. Accueil
  2. Offre de soins
  3. Adénome hypophysaire
Retour

Adénome hypophysaire

Les différents types d’adénomes hypophysaires

On distingue deux grandes catégories :

Les adénomes sécrétants, qui produisent un excès d’hormones et peuvent être responsables de maladies comme la maladie de Cushing, l’acromégalie ou le prolactinome. Ces formes nécessitent une évaluation hormonale approfondie et, selon le cas, un traitement médical ou chirurgical.

Les adénomes non sécrétants, plus silencieux sur le plan hormonal, se révèlent souvent par leurs effets mécaniques : troubles visuels, céphalées ou fatigue liée à un déficit hormonal.

Certaines formes rares peuvent être agressives ou à croissance rapide, justifiant une surveillance par IRM plus rapprochée et une approche thérapeutique personnalisée.

Les symptômes les plus fréquents

Les signes dépendent de la taille et du type d’adénome :

Troubles hormonaux : prise de poids, modification du visage, troubles des règles, baisse de la libido, hypertension ou diabète.

Troubles visuels : vision floue, réduction du champ visuel ou vision double.

Maux de tête persistants.
Dans certains cas, l’adénome est découvert fortuitement lors d’un scanner ou d’une IRM cérébrale réalisée pour une autre raison.

Diagnostic

Le diagnostic repose sur :

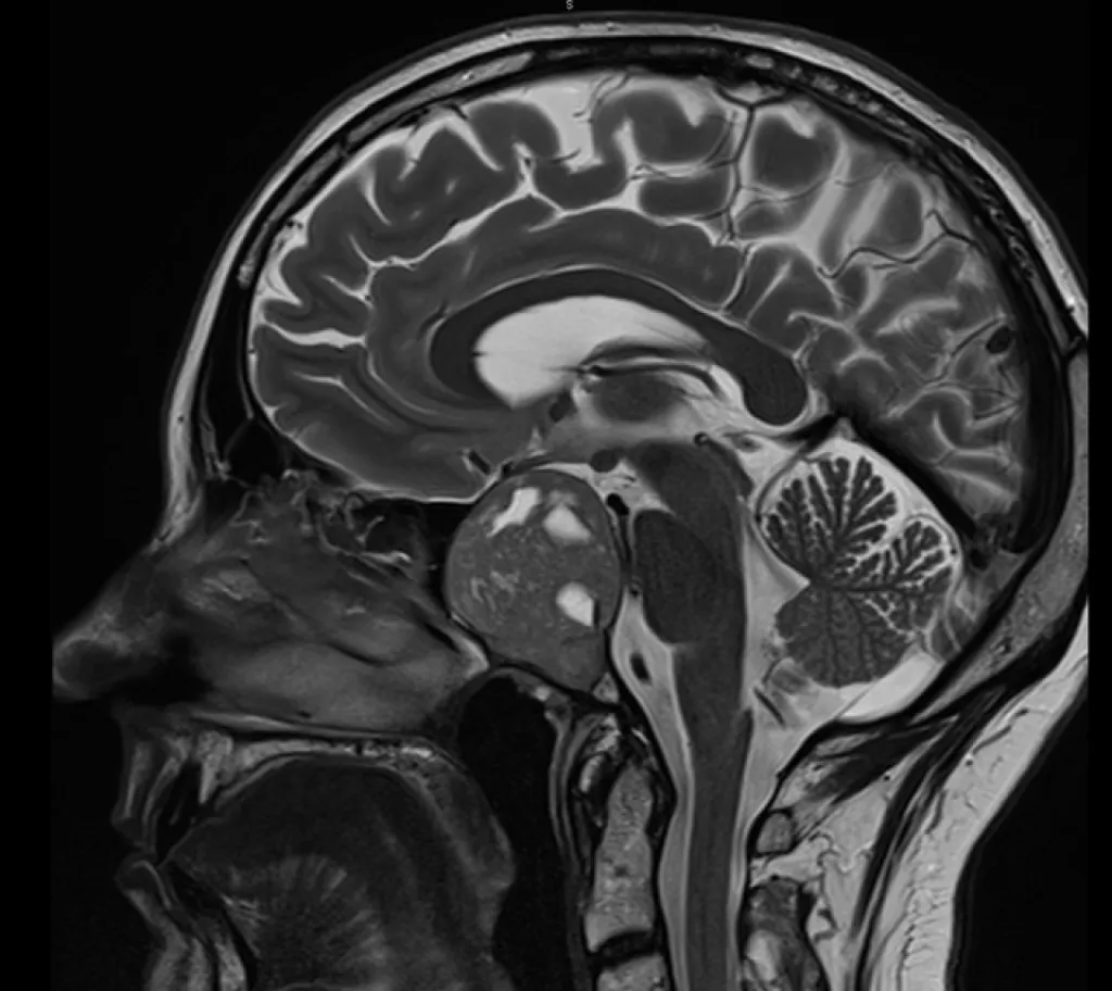
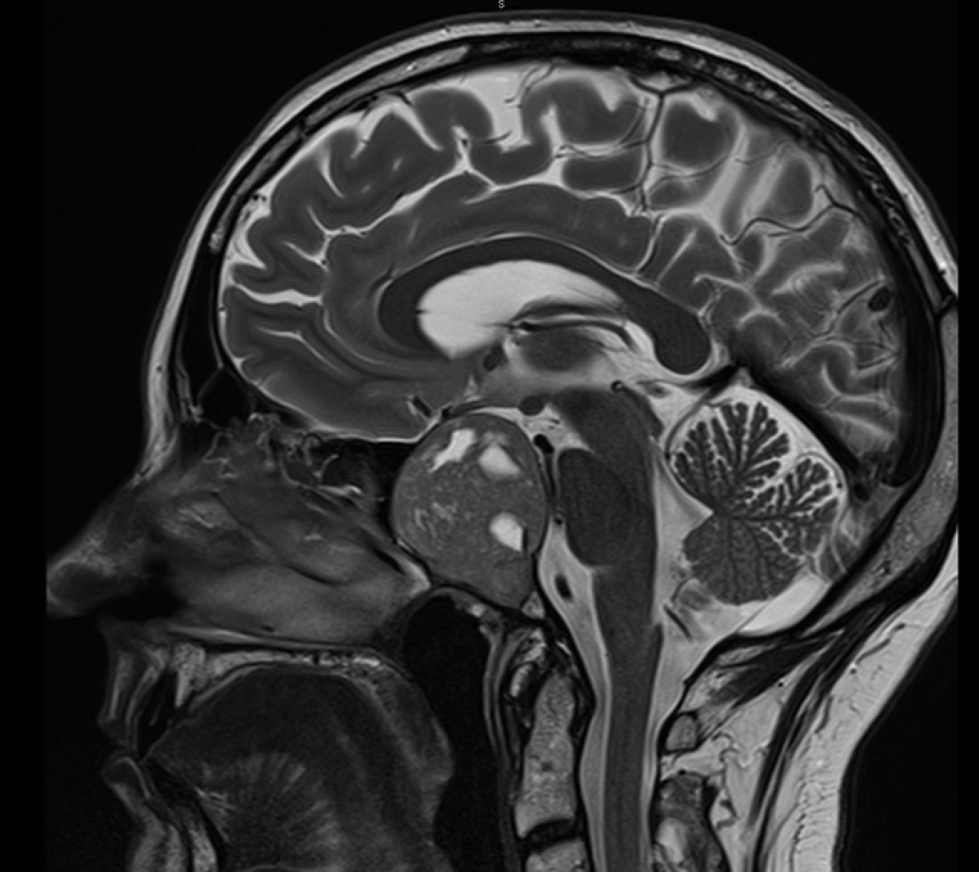
une IRM hypophysaire, examen de référence pour localiser la tumeur et évaluer ses rapports avec le chiasma optique ;

un bilan hormonal complet, réalisé avec un endocrinologue pour détecter un excès ou un déficit hormonal ;

et, si besoin, un bilan ophtalmologique pour mesurer l’impact sur la vision.

Les cas sont discutés en réunion de concertation pluridisciplinaire, réunissant neurochirurgiens, endocrinologues, radiologues et pathologistes, afin d’établir la stratégie thérapeutique la plus adaptée à chaque patient.

Traitement

La prise en charge à la Timone

Le CHU de la Timone est un centre de référence national pour la chirurgie des tumeurs de la région sellaire, notamment grâce à l’expertise du Pr DUFOUR et du Pr GRAILLON, reconnus à l’international dans ce domaine.

Lorsqu’une chirurgie est indiquée, elle se déroule le plus souvent par voie endonasale endoscopique, une approche mini-invasive permettant d’accéder à la tumeur par les fosses nasales, sans ouverture du crâne. Cette technique offre une vision panoramique de la région sellaire et préserve au maximum les structures environnantes, réduisant ainsi les suites opératoires et le risque de complications.

Dans certaines situations particulières — tumeurs volumineuses, invasions complexes ou récidives —, une craniotomie ciblée peut être proposée. Chaque décision est personnalisée, discutée avec le patient, et encadrée par une équipe pluridisciplinaire associant neurochirurgiens, anesthésistes, endocrinologues et neuropsychologues.

Un suivi post-opératoire régulier est ensuite assuré pour surveiller la cicatrisation, adapter les traitements hormonaux et prévenir toute récidive.

Le service du Pr DUFOUR s’impose comme une référence nationale et internationale dans la prise en charge des pathologies de la région sellaire. L’alliance entre expertise chirurgicale, collaboration multidisciplinaire et prise en charge humaine garantit aux patients un parcours complet, sécurisé et fondé sur les standards scientifiques les plus récents.

Nous écrire
Les champs indiqués par un astérisque (*) sont obligatoires
Pour la moindre question, n’hésitez pas à nous joindre par téléphone
Horaires d’ouverture du secrétariat du lundi au jeudi de 8h à 17h et le vendredi de 8h à 16h30